Fraser Health looks to improve colon cancer screening with AI

A little more than two years after bringing in artificial intelligence tech to screen patients for colon cancer, doctors are looking for a way to geta closer look.
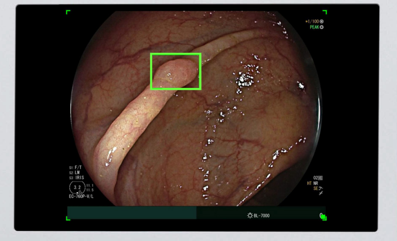
Doctors at several Fraser Health hospitals including Eagle Ridge Hospital have started using an endoscopy module called GI Genius.
Manufactured and marketed by Medtronic, the device is meant to be a second set of eyes. After being attached to an endoscope video, the deep learning computer pinpoints potential polyps.
Local news that matters to you
No one covers the Tri-Cities like we do. But we need your help to keep our community journalism sustainable.
“This is an encouraging development because it may help us avoid removing certain benign polyps that do not require excision, while still maintaining a strong focus on safety and quality,” stated Dr. Scott Cowie in a press release from Fraser Health.
A study published by the National Library of Medicine found the AI-based tool resulted in a significantly higher detection rate.
The study, which included 685 subjects, found that using the program resulted in higher rates of detection. The difference was particularly apparent with benign tumours that were five millimetres or smaller.
Researchers using GI Genius found the small benign tumours in 33 percent of subjects, compared to 26 percent of subjects in the control group.
The study also noted the need for improvements as approximately one-fourth of abnormal masses of tissue – which can develop into colorectal cancer – are missed during screening colonoscopies.
The AI processes colonoscopy images and superimposes a green square over suspected lesions.

Colorectal cancer is being seen more often in younger adults, according to Colorectal Cancer Canada.
If detected at its earliest stage, the chance of survival is more than 90 percent, according to Fraser Health.
